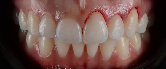
Plástica Gengival

A plástica serve para melhorar a estética gengival, reduzindo, aumentando, ou modificando o seu contorno. Transformando o sorriso em pouco tempo.
A estética "vermelha" confere harmonia ao sorriso, assim como o cabelo é a moldura do rosto, a gengiva é a moldura dos dentes.
Retrações gengivais com consequentes exposições radiculares, alterações na coloração e na textura da gengiva ou até mesmo o excesso desse tecido avermelhado são condições clínicas que conferir desarmonia visual, além de aspectos negativos relacionados à saúde bucal.
Como Tratamentos, temos: o peeling gengival, para remoção de manchas; gengivoplastias de aumento ou de redução e recobrimentos radiculares.
Todas as técnicas são guiadas com planejamento virtual e protético, para maior eficiência estética.
